Navigation überspringen Sitemap anzeigen
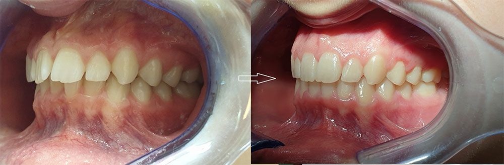
Von uns korrigierte kieferorthopädische Fälle

Zahnspange ein Hilfsmittel bei unterschiedlichen Zahnproblemen

Zu uns in die Praxis kommen Patienten mit ganz unterschiedlichen Zahnproblemen. Bei manchen sind die Zähne verfärbt, bei anderen schief. Teilweise stört ein Lückenstand, der das Selbstbewusstsein beeinflussen kann. Gleiches zählt für den Engstand von Zähnen, der zudem die Zahnhygiene erschweren und damit weitere Zahnprobleme provozieren kann.

Manchmal handelt es sich gar nicht um ein kosmetisches, sondern um Funktionsproblem, die eine bestimmte Zahnstellung mit sich bringen kann. 

Ob mithilfe einer Zahnspange oder einer anderen Behandlungsmethode: Ihr Kieferorthopäde in Wien findet die Lösung für diese Probleme. Wir setzen neuste und bewährte Behandlungstechnologien ein wie:

  • Aligner Schienentherapie wie Invisalign, 3D Simulationen und Lingualbehandlungen
  • herausnehmbare Zahnspangen

Bitte beachten Sie auch, dass Ihr Kieferorthopäde in Wien für Sie mit ästhetischer und konservierender Zahnheilkunde da ist.

Ihr Kieferorthopädefür ein strahlendes Lächeln

Wäre es nicht schön, sorglos lächeln zu können? Wäre es nicht wunderbar, herzhaft und kraftvoll in alle Lebensmittel beißen zu können? Wir als Ihr Kieferorthopäde erfüllen Ihnen diesen Wunsch. Dank unserer langjährigen Erfahrung und unserer professionellen Arbeitsweise bringen wir Ihre Zähne mithilfe von Zahnspange in Form – zuverlässig und kostengünstig. Sie werden sehen, mit unseren Zahnspangen können Sie schon bald selbstbewusst lächeln.

Unsere Leistungen für Sie vom Wahlzahnarzt für Kieferorthopädie Dr. med. dent. György Sziklavari

Einfühlsame Kieferorthopädie

Dank unserer langjährigen Erfahrung ist uns bewusst, dass einige Patienten Besuche beim Zahnarzt scheuen. Wir möchten Sie darauf hinweisen, dass wir besonders sensibel und achtsam mit unseren Patienten umgehen. Ganz gleich, um welches Zahnproblem es sich handelt, wir kümmern uns zuverlässig darum und nehmen Ihre Angst ernst.

Die erforderliche Behandlung gestalten wir so angenehm wie möglich für Sie und mit höchster Präzision. Wir informieren Sie vorab ausführlich, erklären die Behandlungsschritte und erörtern unsere günstige Preisgestaltung.

Gut informiert beginnen wir mit Ihrer Behandlung in modern ausgestatteten Räumen. Gern stehen wir auch für Nachfragen zur Verfügung, denn eine transparente Arbeitsweise ist uns sehr wichtig. All unser Bestreben hat das Ziel, dass Ihr Kind oder Sie mit einem strahlenden Lächeln unsere Praxis verlassen.

Gerne können Sie zu einer kostenfreien Beratung vorbei kommen. Rufen Sie uns einfach an und vereinbaren einen Termin!

Unsere kostenfreie Beratung

All unser Bestreben hat das Ziel, dass Sie mit einem strahlenden Lächeln unsere Praxis verlassen. Gerne können Sie zu einer kostenfreien Beratung vorbei kommen. Rufen Sie uns einfach an unter +43 664 - 274 537 8 und vereinbaren einen Termin!

Zum Seitenanfang